2026.05.10 (일)

  • 맑음동두천 12.5℃
  • 맑음강릉 14.6℃
  • 맑음서울 14.3℃
  • 맑음대전 14.5℃
  • 맑음대구 16.9℃
  • 맑음울산 13.5℃
  • 맑음광주 15.7℃
  • 맑음부산 15.0℃
  • 맑음고창 11.1℃
  • 맑음제주 15.1℃
  • 맑음강화 11.2℃
  • 맑음보은 12.3℃
  • 맑음금산 13.1℃
  • 맑음강진군 12.6℃
  • 맑음경주시 13.1℃
  • 맑음거제 14.7℃
기상청 제공

업체

강스템바이오텍, '피부 오가노이드 기반' 미용기기 효능 평가법 개발

LG전자와 피부 오가노이드 배양 피부조직 활용 기존 한계 극복 "표준화 작업 진행"

 

[코스인코리아닷컴 한지원 기자] (주)강스템바이오텍(217730, 대표 나종천)은 최근 LG전자와 피부 오가노이드 모델을 통해 미용기기의 효능평가를 진행했다고 밝혔다.

 

(주)강스템바이오텍는 기존 피부 오가노이드의 한계점을 극복해 신뢰도 높은 새로운 평가방식을 제시했으며 해당 연구는 P&K피부임상연구센타를 통해 대한화장품학회 학술대회에서 발표됐다.

 

LG전자는 미용기기 효능에 대한 기전 등 과학적 근거를 확보하기 위해 (주)강스템바이오텍의 피부 오가노이드를 적용한 효능평가를 요청했다. 이에 (주)강스템바이오텍은 피부 오가노이드 모델을 통해 미용기기의 물질 투과도 증가 효과와 미백효능에 대해 평가했다.

 

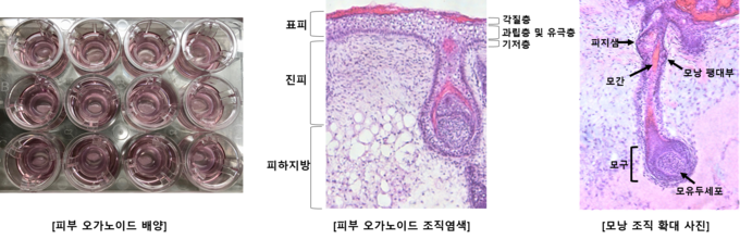
특히 가장 정확하지만 현실적으로 불가능했던 인체피부 채취를 통한 분석을 대신해 피부 오가노이드로 배양한 피부조직을 활용함으로써 기존의 한계를 극복했다. 피부조직 변화와 세포 내에서 진행되는 유전자, 단백질 발현 등을 직접 확인할 수 있게 돼 미용기기의 작용기전과 효과에 대한 정밀한 분석이 가능해진 것이다.

 

또 기존 피부 오가노이드 모델은 배양액에 완전히 잠겨있거나 표피층과 진피층이 뒤집혀 있는 낭포(cyst) 형태로 표피층에 직접 접촉하는 평가가 불가능했다.

 

그러나 (주)강스템바이오텍의 피부 오가노이드는 공기-액체 계면 배양방식을 도입해 표피층은 공기 중에, 진피층은 배양액에 노출시켜 실제 피부와 유사한 환경을 재현했다. 이에 표피층에 직접 접촉이 가능할 뿐 아니라 다양한 크기의 미용기기에 대한 평가가 가능해졌다.

 

이승희 (주)강스템바이오텍 연구소장은 "피부 오가노이드 기반 효능평가는 기존 피부모델과 평가방식의 취약점을 해결해 실제 피부환경에서의 피부조직과 미용기기간 상호작용 평가가 가능하다. 이에 LG전자 미용기기의 우수한 기능을 확인할 수 있었다"고 말했다.

 

이어 "양사는 이번 예비시험을 시작으로 해당 미용기기에 적합한 피부 오가노이드 제조와 평가 방법을 확립하는 표준화 작업을 진행할 계획이다"고 덧붙였다.

 

관련태그

#코스인 #코스인코리아닷컴 #화장품 #코스메틱 #강스템바이오텍 #LG전자 #피부오가노이드모델 #미용기기 #효능평가 #P&K피부임상연구센타 #대한화장품학회 #학술대회 #물질투과도 #미백효능

배너


배너

배너






배너